Brain MRI tumor detection 🖥️

Description

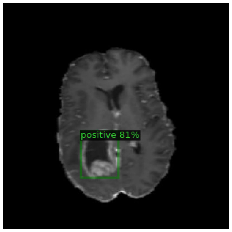
This project involves developing a robust system for detecting brain tumors in MRI scans using Detectron2, a powerful object detection framework, and Streamlit, a versatile tool for building interactive web applications. The objective is to enhance early detection and diagnostic capabilities for brain tumors.

GitHub

Tech Stack

Detectron2

Streamlit




My Role



1- Steps of the Project:


This project involves several key steps to achieve accurate brain tumor detection in MRI scans:


  • Data Collection: Gather MRI images of brain scans, ensuring a diverse set of images with tumor annotations.

  • Data Preprocessing: Prepare the dataset by resizing images, normalizing pixel values, and splitting into training and validation sets.

  • Model Training: Use Detectron2 to train a model for tumor detection, configuring the architecture and hyperparameters.

  • Interface Development: Create an interactive web application with Streamlit to allow users to upload MRI images and view the model’s predictions.

  • Evaluation and Refinement: Assess the model’s performance and refine it based on evaluation metrics and user feedback.



2- Dataset:


  • Data Selection: The dataset consists of MRI scans with annotated tumor regions. Care was taken to include a diverse range of images to ensure the model’s generalizability.

  • Data Limitations: The dataset’s size and diversity are limited by the availability of annotated MRI scans. Future work could include expanding the dataset to include more varied cases and improving annotation accuracy.

  • Ethics of Data Source: All MRI images used in this project are anonymized to ensure patient privacy. The data is used strictly for research and educational purposes.


The project adheres to ethical guidelines for medical data usage, and privacy concerns are mitigated through anonymization and secure data handling practices.



3- Conclusions and Future Research Ideas:


The project demonstrates a successful integration of Detectron2 and Streamlit for brain tumor detection. Key findings and future research directions include:


  • The model achieves high accuracy in detecting tumors, providing a valuable tool for early diagnosis and treatment planning.

  • The Streamlit interface significantly enhances user interaction, making it easier for healthcare professionals to use the model in practice.

  • Future research could focus on expanding the dataset, improving model performance, and exploring additional features like multi-modal imaging.

  • Further studies could investigate the integration of model predictions with clinical workflows to optimize diagnostic processes and outcomes.



3.1- Project Limitations:


The project has some limitations:


  • The dataset size may limit the model’s ability to generalize to all possible variations in brain tumors.

  • The model’s performance is contingent on the quality of the annotated data; inaccuracies in annotations could impact results.



3.2- Ideas for Future Research:


To enhance and expand this research, consider the following:


  • Increase the dataset size and diversity to improve model robustness and accuracy.

  • Explore advanced techniques for tumor segmentation and classification using multi-modal imaging data.

  • Investigate the impact of integrating model predictions with other diagnostic tools and patient data.

  • Develop and test enhancements to the Streamlit interface for better user experience and clinical integration.